四川广泰科技有限公司

生物医学量子光子传感技术探索

发表时间:2025-12-22 09:47

1

研究背景

在德国耶拿弗里德里希·席勒大学应用物理研究所,纳米与量子光学研究组的弗兰克·塞茨潘特博士与维拉·贝萨加博士,正专注于量子光学在传感与成像领域的创新应用。他们的研究团队将理论推导与实验验证相结合,深耕非经典光态的制备及其实际应用价值。

近期,该团队研发出一种基于偏振特性的量子增强传感技术——利用偏振纠缠光子对作为探测工具,对结构复杂的精密样本进行检测。借助光子间的量子关联特性,这项技术能够捕捉到传统经典方法无法获取的深层信息。尽管量子光子传感尚属新兴领域,诸多基础理论与技术细节仍待完善,但对现有系统的迭代优化已成为突破关键。一旦实现更高效的传感机制,这种技术将为复杂生物样本提供高灵敏度、无侵入性的分析手段,相比传统技术展现出独特优势。

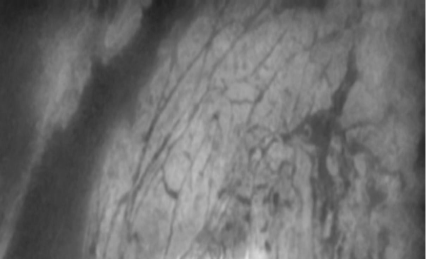
图:采用Prime BSI Express相机拍摄的组织样本图像。实验中,样本由波长810 nm的SPDC光子直接照明,未额外配备显微物镜。

2

核心挑战

该技术的核心原理是通过自发参量下转换(SPDC)过程生成偏振纠缠光子对,其中一个光子被引导至样本并与之相互作用,研究人员通过分析双光子态的变化来反推样本特性。虽然前期原理验证实验已证实该思路的可行性,但要实现实用化,仍需攻克一系列技术难关——尤其是在空间分辨探测的精准控制方面。

首要挑战在于入射光束的精细化调控,例如照明光斑的尺寸、轮廓,以及光斑尺寸与样本结构特征尺寸的匹配度。目前团队采用的方案是“单点传感+样本平移”的组合方式,效率与精度仍有提升空间。

高效传感的关键前提,是能同时清晰观测到样本本身与SPDC光子形成的照明光斑——这就对探测设备提出了低噪声、高灵敏度的硬性要求。为保证传感稳定性并降低光学损耗,实验装置通常设计得紧凑小巧,这却导致监测样本照明的辅助成像光路空间异常局促。

更棘手的是,有限的空间难以容纳高倍率显微物镜等光学元件,因此相机传感器的像素尺寸直接决定了成像分辨率。加之实验中光子波长设定为810 nm(这一数值是为匹配生物样本的光学特性特意选择的),而硅基相机在该波长区域的探测效率本就偏低,相机的噪声控制便成为影响实验结果的核心变量。

对此,贝萨加博士深有感触:“Prime BSI Express相机的紧凑轻便设计,搭配低噪声的数据采集能力,让我们能够实现实时对准操作,这在复杂实验环境中尤为重要。”

3

请输入标题解决方案

Vira Besaga博士:“Prime BSI Express结构紧凑、重量轻,并能提供低噪声数据采集,使我们能够执行实时对准。”

背照式sCMOS相机Prime BSI Express,恰好成为破解上述难题的理想选择。它将低噪声性能与95%的高量子效率融为一体,确保了探测过程的高灵敏度;2048×2048的分辨率与6.5×6.5μm的像素尺寸,精准匹配了实验的成像需求;全画幅下95fps的帧速率,也足以支撑高速动态实验的观测。

谈及使用体验,贝萨加博士介绍道:“这款相机最突出的优势就是紧凑轻便,而且无需水冷或液冷辅助,就能稳定输出低噪声数据——这让它能轻松嵌入我们密集的光学装置中。虽然我们没有直接用它进行量子成像,但在低成本开发新型传感模式的过程中,它扮演了不可或缺的角色。”

历史文章

光谱共焦显微镜的原理和应用
扫描电子显微镜基础知识
机器视觉应用锦集